What Does Mouth Cancer Look Like On The Tongue : Oral Cancer Images The Oral Cancer Foundation - Mouth cancer typically affects your cheeks, lips, tongue, or throat.
Dapatkan link
Facebook
X
Pinterest
Email
Aplikasi Lainnya
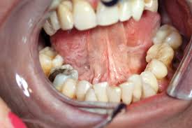
What Does Mouth Cancer Look Like On The Tongue : Oral Cancer Images The Oral Cancer Foundation - Mouth cancer typically affects your cheeks, lips, tongue, or throat.. Tongue cancer is a type of mouth cancer, or oral cancer, that usually develops in the squamous cells on the surface of the tongue. In the early stages of tongue cancer, especially with cancer at the base of the tongue, you might not notice any symptoms. If tongue cancer is suspected, a physician can perform biopsies and various scans to confirm a diagnosis 2. It usually shows up as flat, white patches on any of those areas. On the other hand, cancer affecting gingiva, gums, the floor of the mouth and soft palate have a poor outlook.
The american cancer society estimates that 28,000 people in the united states develop oral or throat cancer each year and 7,000 die from it. It doesn't simply thrive on top of the material it spends the tissue. The characteristics of these lumps include: I couldn't close my mouth completely and had to use a bite stick to keep from damaging it accidentally. Canker sores can be found anywhere in the mouth from the cheek, inner lip, on and under the tongue, and even in the throat.
What Are The Causes Of Mouth Cancer Cancer Healer Center from www.cancerhealercenter.com A white or red patch inside your mouth or on your lips may be a potential sign of squamous cell carcinoma. Health scotland and glasgow dental hospital. The main risk factors are smoking, drinking a lot of alcohol and infection with the hpv virus. It doesn't simply thrive on top of the material it spends the tissue. Oral cancer starts in the mouth. Just to remind you about what some oral cancers look like. Tongue cancer is a type of head and neck cancer. A canker sore looks like an ulcer, usually with a depression in the center.
Symptoms can include a patch, spot or lump on your tongue that doesn't go away.
Individuals who smoke or consume large amounts of alcohol are at an increased risk and need to be screened regularly. Mouth cancer usually presents with distinctive symptoms and features, such as red or white patches in the mouth, changes in oral tissue, or difficulty chewing or swallowing. Seeing a red or white patch on you gums, lining of mouth, tonsil or tongue is a sign of squamous cell carcinoma. Oral cancer can affect the mouth including the gums, lips, tongue, mouth's roof, and floor and the inner cheeks. One of the most common questions asked by new members in canker sore forums, is what does a canker sore look like? which is understandable as there are many weird things that can happen in your mouth. It is highly advised to have a dental checkup once a year as your dentist can locate any abnormal growth or patch that can ultimately transform into malignant cancer. A shallow ulcer on the lower lip. Although ulcers and lesions in the mouth are often canker sores — which are relatively harmless — some can be oral cancer. It usually shows up as flat, white patches on any of those areas. Mouth cancer typically affects your cheeks, lips, tongue, or throat. The most common early symptom of tongue cancer is a sore on your tongue. The patches having a grayish or white coloring to them present on your lips or inside your mouth are known as keratosis or leukoplakia. The impact of mouth cancer..
I couldn't close my mouth completely and had to use a bite stick to keep from damaging it accidentally. Some symptoms of mouth cancer are noticeable, that makes it possible to detect mouth cancer in its early stages. See if there are color changes or lumps. They may look like a patch or a lump or look like an ulcer. The middle of the canker sore may appear white, gray, or yellow, and the edges are red.
Oral Cancer Dr Kanishk Mehta Udaipur from productimages.withfloats.com Floor of the mouth cancer is cancer that begins on the tissue underneath your tongue. Tongue cancer is a type of mouth cancer, or oral cancer, that usually develops in the squamous cells on the surface of the tongue. Mixed red and white patches and bright red patches are also signs of trouble. It may be numb or firm to feel and doesn't fade away over time. Tongue cancer is highly curable if caught in the early stages 2. The hardest part of recovery: A red patch under the tongue. Smokers are five times more likely than nonsmokers to develop oral tongue cancer.
Floor of the mouth cancer most often begins in the thin, flat cells that line the inside of your mouth (squamous cells).
When we talk about tongue cancer, we usually mean cancers of the oral tongue. Mixed red and white patches and bright red patches are also signs of trouble. The american cancer society estimates that 28,000 people in the united states develop oral or throat cancer each year and 7,000 die from it. Mouth cancer usually presents with distinctive symptoms and features, such as red or white patches in the mouth, changes in oral tissue, or difficulty chewing or swallowing. In the early stages, mouth cancer rarely causes any pain. Canker sores can be found anywhere in the mouth from the cheek, inner lip, on and under the tongue, and even in the throat. The tongue is actually a large muscle in the mouth that has two parts, the oral tongue is the part that is visible inside the mouth that is used to speak and eat, while the base of the tongue is farther back, and is part of the throat. It doesn't simply thrive on top of the material it spends the tissue. These photos give you an idea of what possible mouth cancers can look like, but remember that they might appear differently to this. In most cases, there is no identifiable cause for cancer of the mouth in dogs. A patch on your tongue, gums, tonsils, or the lining of your mouth can signal trouble. Tongue cancer is a terribly invasive cancer. Oral cancer starts in the mouth.
Do to the location of my tongue cancer which is at the base of the tongue (can not be seen without bent mirrors or a remit) radiation is no other course of action. They may look like a patch or a lump or look like an ulcer. Floor of the mouth cancer is cancer that begins on the tissue underneath your tongue. When possible, use one finger inside your mouth and one finger on the outside, corresponding to the same place and feel for unusual bumps, swelling or tenderness. Seeing a red or white patch on you gums, lining of mouth, tonsil or tongue is a sign of squamous cell carcinoma.
Oral Cancer Screening For Kids Mckinney Mouth Cancer Sprout Dentistry from www.sproutdentistryforkids.com Picture tongue cancer, squamous cell carcinoma in young people, do you have within what does cancer of the tongue look like article related to what does cancer of the tongue look like : It's important to be aware of the symptoms of mouth cancer so you can contact your gp or dentist if you notice anything abnormal. Enlarged lymph nodes in the neck (occasionally) swollen or deformed areas on the face. In most cases, there is no identifiable cause for cancer of the mouth in dogs. Floor of the mouth cancer most often begins in the thin, flat cells that line the inside of your mouth (squamous cells). It is highly advised to have a dental checkup once a year as your dentist can locate any abnormal growth or patch that can ultimately transform into malignant cancer. The impact of mouth cancer.. Seeing a red or white patch on you gums, lining of mouth, tonsil or tongue is a sign of squamous cell carcinoma.
Health scotland and glasgow dental hospital.
A white or red patch inside your mouth or on your lips may be a potential sign of squamous cell carcinoma. Some symptoms of mouth cancer are noticeable, that makes it possible to detect mouth cancer in its early stages. Women and people of 45 years of age and above are more vulnerable to. Oral cancer can pose a serious health risk.consequently, many patients become concerned when they develop unusual spots or sores in the mouth. Removable devices that look like dental retainers can fill in for lost tissue or. Individuals who smoke or consume large amounts of alcohol are at an increased risk and need to be screened regularly. Mouth cancer of the lips and tongue have a better prognosis. These patches are made up of cells that can lead to cancer. It can begin in the lips, tongue, gums,. It's important to be aware of the symptoms of mouth cancer so you can contact your gp or dentist if you notice anything abnormal. Floor of the mouth cancer most often begins in the thin, flat cells that line the inside of your mouth (squamous cells). Tongue cancer is a type of mouth cancer, or oral cancer, that usually develops in the squamous cells on the surface of the tongue. They may look like a patch or a lump or look like an ulcer.
What Does Inflammatory Breast Cancer Look Like Photos - Inflammatory Breast Cancer Posts Facebook : Instead, you may notice a rash that looks like an insect bite. . Back in the days when no one had heard of inflammatory breast cancer (ibc), a red spot on the breast that looked like a bug bite didn't worry anyone. The gray areas correspond to normal. This form of cancer results in the blockage of lymph vessels in the skin. Many people think breast cancer begins with a lump in the breast, however, not every type of this cancer does. Inflammatory breast cancer is an uncommon, aggressive form of the illness that can quickly spread to other parts of the body 2. Dimpled or pitted skin that looks like an orange peel (called peau d'orange) A biopsy for inflammatory breast cancer is a biopsy of the skin of the breast. Other signs of this rare form of the disease (it makes up 1 to 5 percent of all breast cancer diagnoses in the u.s.) include redness or skin that looks...
Download mp3 tamil evergreen download zip song mp3. One such sculpture depicts vali and sugreev fighting with each other and another … And hence very few djs get fame with their remixes. Bishal bhati october 23, 2019 2. Shipra goyal ikwinder singh alfaaz. Party Songs Download: Party MP3 Tamil Songs Online Free on from a10.gaanacdn.com Nee pathi naan pathi kanne.ogg download. Mp3 sound effects & noises. It is also possible to download the free audio version of the text in mp3 format. 17 hours ago · lagu hindi song mp3 download free all a to z. 28.11.2021 · find illayaraja old songs and download illayaraja best mp3 songs and music album online. Starmusiq.com brings you good quality tamil mp3 songs for download & listen to latest, old and intermediate tamil mp3 songs, we have more than 9000 songs in our database all absolute for downl...
What Does Throat Cancer Feel Like Yahoo Answer / What Do Your Taste Buds Look Like - What parkinson's feels like for me: . The short answer is yes, cbd provides a great advantage to the kidney and the rest of the body as it's an effective what does cbd feel like yahoo answers healing agent from its antibacterial, antiseptic, and antibiotic properties. (1,2) indigestion indigestion or problems swallowing can be. Or, these symptoms might be caused by a medical condition that is not cancer. I can't eat a piece of a dry toast or a dense (like french) bread without getting terrible hiccups. A lump in the throat (globus syndrome) some of those affected with lpr report that they feel like they have a lump in their throat. It might feel like something is stuck there. Fear tastes like metal or blood, in the mouth, nature has designed us to lighten our loads (shit ourselves or be sick) before we react, some people wee themselves. Although there is usually no infe...
Komentar
Posting Komentar